����� �������Ƴ������������ �������Ƴ����������� �������Ƴ������������ �������Ƴ������� 文章作者:南方医科大����� �������Ƴ����������� �������Ƴ������������ �������Ƴ������������ �������Ƴ�������学珠江医院耳鼻咽喉头颈外����� �������Ƴ����������� �������Ƴ������������ �������Ƴ������������ �������Ƴ�������科 广州广东省揭西县中医医院耳鼻咽喉科 刘涛����� �������Ƴ������������ �������Ƴ������������ �������Ƴ������������ �������Ƴ������� 孙德耀 江刚 谢民强
病例报告
 ����� �������Ƴ������������ �������Ƴ������������ �������Ƴ������������ �������Ƴ������; 患者,男����� �������Ƴ������������ �������Ƴ������������ �������Ƴ����������� �������Ƴ�������27岁,反复双侧鼻出血1个月,加重2d于20����� �������Ƴ������������ �������Ƴ������������ �������Ƴ������������ �������Ƴ������13年9月29日入院。7年前曾在当地医院诊断为����� �������Ƴ������������ �������Ƴ������������ �������Ƴ����������� �������Ƴ�������鼻咽纤维血管瘤,经手术结扎右侧颈外动����� �������Ƴ����������� �������Ƴ����������� �������Ƴ����������� �������Ƴ�������脉后切除肿瘤,术后未再出血。1个月����� �������Ƴ������������ �������Ƴ������������ �������Ƴ������������ �������Ƴ�������前无明显诱因出现间断性双侧鼻����� �������Ƴ������������ �������Ƴ����������� �������Ƴ������������ �������Ƴ�������腔少量出血,能自止。2d前双侧鼻����� �������Ƴ������������ �������Ƴ������������ �������Ƴ������������ �������Ƴ�������腔大量出血,在当地医院行双侧前����� �������Ƴ������������ �������Ƴ����������� �������Ƴ������������ �������Ƴ�������后鼻孔填塞后,转来我院进一步����� �������Ƴ����������� �������Ƴ������������ �������Ƴ������������ �������Ƴ�������治疗。
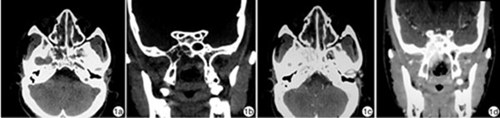
����� �������Ƴ������������ �������Ƴ������������ �������Ƴ������������ �������Ƴ������� 专科检查口咽后壁见少许血块����� �������Ƴ������������ �������Ƴ������������ �������Ƴ������������ �������Ƴ������。鼻窦CT增强扫描:示右��������� �������Ƴ������������ �������Ƴ������������ �������Ƴ������������ �������Ƴ�������� �������Ƴ���������� �������Ƴ������������ �������Ƴ������������ �������Ƴ������������ �������Ƴ��������侧蝶窦区肿物,邻近蝶骨体、右侧翼板,蝶骨大翼����� �������Ƴ������������ �������Ƴ������������ �������Ƴ������������ �������Ƴ������及蝶骨小翼骨质吸收、破坏����� �������Ƴ������������ �������Ƴ������������ �������Ƴ����������� �������Ƴ�������(图1)。

1a:轴位平扫;1b:冠����� �������Ƴ������������ �������Ƴ������������ �������Ƴ������������ �������Ƴ�������状位平扫;1c:轴位增强;1d:冠����� �������Ƴ������������ �������Ƴ������������ �������Ƴ������������ �������Ƴ�������状位增强。
图1 鼻咽部肿CT物检查
&n����� �������Ƴ������������ �������Ƴ������������ �������Ƴ������������ �������Ƴ�������bsp;双侧颈内、外动脉数字减影血管造影(DSA����� �������Ƴ������������ �������Ƴ������������ �������Ƴ������������ �������Ƴ�������)示:右颈外动脉起始部闭塞����� �������Ƴ������������ �������Ƴ������������ �������Ƴ������������ �������Ƴ�������(手术结扎),包括颌内动脉����� �������Ƴ������������ �������Ƴ����������� �������Ƴ������������ �������Ƴ�������在内的部分远端分支由侧支循环显影;右侧鼻咽部病灶����� �������Ƴ������������ �������Ƴ������������ �������Ƴ������������ �������Ƴ�������血管丰富,主要由右侧颌内动脉分支����� �������Ƴ������������ �������Ƴ������������ �������Ƴ������������ �������Ƴ�������供血,右侧颈内动脉脑膜垂体干参与部分供血����� �������Ƴ������������ �������Ƴ����������� �������Ƴ������������ �������Ƴ������,左侧颌内动脉通过侧支循环也参与部分供血(����� �������Ƴ������������ �������Ƴ������������ �������Ƴ������������ �������Ƴ�������图2)。

2a:黑色箭头分别示右侧颌内动脉分支及右侧颈����� �������Ƴ������������ �������Ƴ����������� �������Ƴ����������� �������Ƴ�������内动脉脑膜垂体干分支,白色箭头示����� �������Ƴ������������ �������Ƴ������������ �������Ƴ������������ �������Ƴ�������已结扎的右侧颈外动脉; 2b:����� �������Ƴ������������ �������Ƴ������������ �������Ƴ������������ �������Ƴ�������黑色箭头示左侧颌内动脉侧支循环。
图2 鼻咽部肿物颈动脉系����� �������Ƴ������������ �������Ƴ����������� �������Ƴ������������ �������Ƴ������统DSA检查
����� �������Ƴ������������ �������Ƴ������������ �������Ƴ������������ �������Ƴ������ 患者入院后3d,在����� �������Ƴ������������ �������Ƴ����������� �������Ƴ������������ �������Ƴ�������准备手术的过程中,无明显����� �������Ƴ������������ �������Ƴ������������ �������Ƴ������������ �������Ƴ�������诱因经口吐出大量鲜血,经用食指从口咽部����� �������Ƴ����������� �������Ƴ������������ �������Ƴ����������� �������Ƴ�������向上顶压填塞����� ���������� �������Ƴ������������ �������Ƴ������������ �������Ƴ����������� �������Ƴ��������Ƴ�������的后鼻孔纱球后����� �������Ƴ������������ �������Ƴ������������ �������Ƴ������������ �������Ƴ�������出血暂时停止。遂急行经皮气����� �������Ƴ����������� �������Ƴ������������ �������Ƴ������������ �������Ƴ�������管切开插管全身麻醉,鼻内镜下小心����� �������Ƴ������������ �������Ƴ������������ �������Ƴ������������ �������Ƴ������取出双侧鼻腔的前后鼻孔填塞����� �������Ƴ������������ �������Ƴ������������ �������Ƴ������������ �������Ƴ������物,见右侧鼻腔后端鼻咽部肿����� �������Ƴ������������ �������Ƴ������������ �������Ƴ������������ �������Ƴ�������物出血明显,无法通过电凝烧灼����� �������Ƴ������������ �������Ƴ������������ �������Ƴ������������ �������Ƴ�������切除,只能立即再行双侧前后鼻����� �������Ƴ������������ �������Ƴ������������ �������Ƴ������������ �������Ƴ�������孔填塞,但见口咽后壁仍有较多渗血,对双侧鼻����� �������Ƴ����������� �������Ƴ����������� �������Ƴ������������ �������Ƴ������腔内的凡士林纱条向(后鼻孔����� �������Ƴ������������ �������Ƴ����������� �������Ƴ������������ �������Ƴ�������)鼻咽部方向施压,出血才逐渐停止,同时快 ����� �������Ƴ������������ �������Ƴ������������ �������Ƴ������������ �������Ƴ�������速补液及输入浓缩红细胞12 U,随后转入IC����� �������Ƴ������������ �������Ƴ������������ �������Ƴ����������� �������Ƴ�������U观察。考虑到常规血管栓塞无法完成,而����� �������Ƴ������������ �������Ƴ������������ �������Ƴ������������ �������Ƴ�������血源又不充足等因素,经家属同意,患者于次日病情����� �������Ƴ������������ �������Ƴ������������ �������Ƴ����������� �������Ƴ�������稳定后转至外院,成功切除肿瘤����� �������Ƴ������������ �������Ƴ������������ �������Ƴ����������� �������Ƴ�������,现随访近2年未再出血。
讨论
&nbs����� �������Ƴ������������ �������Ƴ������������ �������Ƴ������������ �������Ƴ������p; 鼻咽纤维����� �������Ƴ������������ �������Ƴ������������ �������Ƴ������������ �������Ƴ�������血管瘤常发生于10-25岁的����� �������Ƴ������������ �������Ƴ������������ �������Ƴ������������ �������Ƴ�������男性,瘤中含有丰富血,管,容易出����� �������Ƴ����������� �������Ƴ����������� �������Ƴ������������ �������Ƴ�������血,故有“男性青春期出血性鼻咽����� �������Ƴ����������� �������Ƴ������������ �������Ƴ������������ �������Ƴ�������纤维血管瘤” 之称。患者主要表现为进行性鼻塞、反����� �������Ƴ������������ �������Ƴ������������ �������Ƴ������������ �������Ƴ�������复鼻出血及由此而引起的不同程度贫����� �������Ƴ����������� �������Ƴ������������ �������Ƴ������������ �������Ƴ�������血等。
����� �������Ƴ������������ �������Ƴ������������ �������Ƴ����������� �������Ƴ������� 鼻咽纤维血管瘤的术����� �������Ƴ������������ �������Ƴ����������� �������Ƴ������������ �������Ƴ�������后复发率较高,据统计有1/6����� �������Ƴ������������ �������Ƴ������������ �������Ƴ������������ �������Ƴ�������-1/2。对于复发����� �������Ƴ������ �������Ƴ������������ �������Ƴ����������� �������Ƴ������������ �������Ƴ�������������肿瘤可酌情再行手术����� �������Ƴ������������ �������Ƴ������������ �������Ƴ����������� �������Ƴ�������治疗。亦有术后复发未再处理,随访中发现肿瘤自然消����� �������Ƴ������������ �������Ƴ����������� �������Ƴ������������ �������Ƴ�������失者。该患者肿瘤手术切除7年后复发,反复鼻腔大����� �������Ƴ������������ �������Ƴ������������ �������Ƴ������������ �������Ƴ�������出血,已危及生命,需及时手术切除肿瘤。对����� �������Ƴ������������ �������Ƴ������������ �������Ƴ������������ �������Ƴ������� 于鼻咽部的急性大出血,应采用方形填塞物从����� �������Ƴ������������ �������Ƴ������������ �������Ƴ������������ �������Ƴ�������双侧鼻腔引出固定(鼻咽填塞),����� �������Ƴ������������ �������Ƴ����������� �������Ƴ������������ �������Ƴ�������将锥型填塞物从单侧鼻腔引出固定(����� �������Ƴ������������ �������Ƴ������������ �������Ƴ������������ �������Ƴ�������后鼻孔填塞)的止血效果不理想,因其不能更好����� �������Ƴ������������ �������Ƴ������������ �������Ƴ������������ �������Ƴ�������地压迫鼻咽部的出血病灶,本例的情况����� �������Ƴ������������ �������Ƴ������������ �������Ƴ������������ �������Ƴ�������也证实了这点。
&����� �������Ƴ����������� �������Ƴ������������ �������Ƴ������������ �������Ƴ�������nbsp; 鼻咽纤维血管瘤血供丰����� �������Ƴ������������ �������Ƴ������������ �������Ƴ����������� �������Ƴ�������富,若术前诊断不明,盲目穿刺活����� �������Ƴ����������� �������Ƴ������������ �������Ƴ������������ �������Ƴ������检或手术将会导致严重后果,引起致命大出����� �������Ƴ������������ �������Ƴ������������ �������Ƴ����������� �������Ƴ�������血,所以术前诊断需更多结����� �������Ƴ������������ �������Ƴ������������ �������Ƴ������������ �������Ƴ�������合影像学的方法。CT技术的应用,可更����� �������Ƴ������������ �������Ƴ������������ �������Ƴ������������ �������Ƴ�������为精确地了解肿瘤扩展范围����� �������Ƴ����������� �������Ƴ������������ �������Ƴ������������ �������Ƴ������及周围组织破坏情况。应用选����� �������Ƴ����������� �������Ƴ������������ �������Ƴ������������ �������Ƴ�������择性颈动脉造 影术,特别是可判断肿瘤的����� �������Ƴ������������ �������Ƴ������������ �������Ƴ������������ �������Ƴ�������供血来源以及肿瘤的范围和扩展����� �������Ƴ������������ �������Ƴ������������ �������Ƴ������������ �������Ƴ�������方向,以便制定适当 的手术方案。目前����� �������Ƴ����������� �������Ƴ������������ �������Ƴ������������ �������Ƴ�������普遍认为,DSA造影明确肿瘤供血动脉后进行血����� �������Ƴ������������ �������Ƴ������������ �������Ƴ����������� �������Ƴ�������管超选择栓塞,再联合手术切除是首选的治����� �������Ƴ������������ �������Ƴ������������ �������Ƴ������������ �������Ƴ�������疗方法。
&n����� �������Ƴ������������ �������Ƴ������������ �������Ƴ����������� �������Ƴ�������bsp;����� ��������� �������Ƴ������������ �������Ƴ������������ �������Ƴ������������ �������Ƴ����������Ƴ������� 我们通过����� �������Ƴ������������ �������Ƴ����������� �������Ƴ������������ �������Ƴ�������病史,结合CT及鼻内镜检查����� �������Ƴ������������ �������Ƴ������������ �������Ƴ������������ �������Ƴ�������,确定了患者为鼻咽部纤维血管瘤术后复发,再����� �������Ƴ������������ �������Ƴ����������� �������Ƴ������������ �������Ƴ�������经DSA检查发现右侧颈外动脉起始部����� �������Ƴ������������ �������Ƴ������������ �������Ƴ����������� �������Ƴ�������已被结扎,肿瘤的血供主要由右侧的颌内动脉����� �������Ƴ������������ �������Ƴ������������ �������Ƴ������������ �������Ƴ�������及颈总动脉分支供应,左侧颌����� �������Ƴ����������� �������Ƴ������������ �������Ƴ������������ �������Ƴ�������内动脉也参与少量供血。正常情况下����� �������Ƴ������������ �������Ƴ������������ �������Ƴ������������ �������Ƴ�������,鼻咽纤维血管瘤的供血动����� �������Ƴ������������ �������Ƴ������������ �������Ƴ������������ �������Ƴ�������脉一般主要来自颈外动脉的上颌动脉和咽����� �������Ƴ����������� �������Ƴ������������ �������Ƴ����������� �������Ƴ�������升动脉,虽然结扎同侧颈外动脉����� �������Ƴ������������ �������Ƴ������������ �������Ƴ������������ �������Ƴ�������可明显减少术中出血,但如果肿瘤复发����� �������Ƴ����������� �������Ƴ������������ �������Ƴ������������ �������Ƴ�������,颈外动脉的远侧分支及颈内动脉的分支往往����� �������Ƴ����������� �������Ƴ����������� �������Ƴ������������ �������Ƴ�������会形成新的侧支循环供血,导致����� �������Ƴ����������� �������Ƴ����������� �������Ƴ������������ �������Ƴ�������术前不能行常规的血管介入栓塞,给再次手术增加困难����� �������Ƴ������������ �������Ƴ����������� �������Ƴ������������ �������Ƴ�������,此外,保留颈外动脉也便于术后血管造影检查的����� �������Ƴ������������ �������Ƴ������������ �������Ƴ������������ �������Ƴ������随访观察。因此,随着术前血管栓塞术的应用,采����� �������Ƴ������������ �������Ƴ������������ �������Ƴ������������ �������Ƴ�������用颈外动脉结扎的情况逐渐减少。结合����� �������Ƴ������������ �������Ƴ������������ �������Ƴ������������ �������Ƴ������本病例,对鼻咽纤维血管瘤的治疗,����� �������Ƴ������������ �������Ƴ����������� �������Ƴ������������ �������Ƴ�������我们的体会也是术前尽量避免����� �������Ƴ������������ �������Ƴ������������ �������Ƴ����������� �������Ƴ�������采用颈外动脉结扎而应首选DSA介入栓����� �������Ƴ����������� �������Ƴ������������ �������Ƴ������������ �������Ƴ�������塞,因为若术后复发需手术����� �������Ƴ������������ �������Ƴ������������ �������Ƴ������������ �������Ƴ�������时,还可以为再次行术前供血血管����� �������Ƴ����������� �������Ƴ������������ �������Ƴ������������ �������Ƴ������的选择性栓塞保留机会。
&nbs����� �������Ƴ������������ �������Ƴ������������ �������Ƴ������������ �������Ƴ�������p; ����� �������Ƴ������������ �������Ƴ������������ �������Ƴ������������ �������Ƴ������� &nbs����� �������� �������Ƴ������������ �������Ƴ������������ �������Ƴ������������ �������Ƴ�����������Ƴ�������p����� �������Ƴ������������ �������Ƴ������������ �������Ƴ������������ �������Ƴ�������;  ����� �������Ƴ������������ �������Ƴ������������ �������Ƴ������������ �������Ƴ�������; &nbs����� �������Ƴ������������ �������Ƴ������������ �������Ƴ������������ �������Ƴ�������p; &nbs����� �������Ƴ����������� �������Ƴ������������ �������Ƴ������������ �������Ƴ�������p; &n����� �������Ƴ������������ �������Ƴ������������ �������Ƴ������������ �������Ƴ�������bsp; &����� �������Ƴ������������ �������Ƴ������������ �������Ƴ����������� �������Ƴ������nbsp; ����� �������Ƴ������������ �������Ƴ������������ �������Ƴ������������ �������Ƴ�������  ����� �������Ƴ������������ �������Ƴ������������ �������Ƴ������������ �������Ƴ�������;  ����� �������Ƴ����������� �������Ƴ������������ �������Ƴ������������ �������Ƴ������; &����� �������Ƴ������������ �������Ƴ������������ �������Ƴ������������ �������Ƴ�������nbsp; &����� �������Ƴ������������ �������Ƴ������������ �������Ƴ������������ �������Ƴ�������nbsp; &nb����� �������Ƴ������������ �������Ƴ������������ �������Ƴ������������ �������Ƴ�������sp; &n����� �������Ƴ������������ �������Ƴ������������ �������Ƴ������������ �������Ƴ�������bsp; &nbs����� �������Ƴ����������� �������Ƴ������������ �������Ƴ������������ �������Ƴ�������p; ����� �������Ƴ������������ �������Ƴ������������ �������Ƴ����������� �������Ƴ�������  ����� �������Ƴ������������ �������Ƴ������������ �������Ƴ����������� �������Ƴ�������; &����� �������Ƴ������������ �������Ƴ������������ �������Ƴ������������ �������Ƴ�������nbsp; &����� �������Ƴ������������ �������Ƴ������������ �������Ƴ������������ �������Ƴ�������nbsp; (信息来源:临����� �������Ƴ������������ �������Ƴ������������ �������Ƴ������������ �������Ƴ�������床耳鼻咽喉头颈外科杂志)